ލައިފްސްޓައިލް / ސިއްހަތު

މީހެއްގެ ސިކުނޑިތެރޭ ފަންޏެއް ބިސް އެޅުމުން މަރުވެއްޖެ

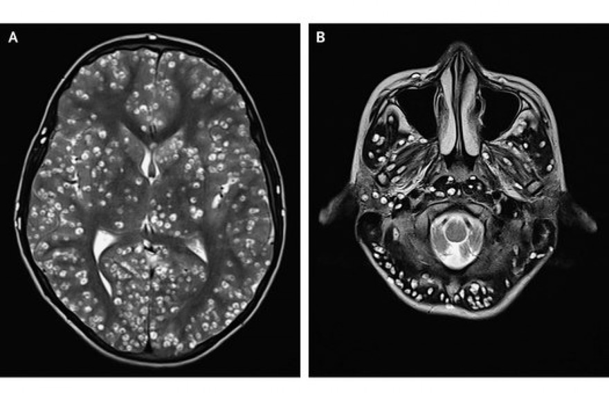
އިންޑިއާގެ ޒުވާނާގެ ސިކުނޑި ތެރޭގައި ޓޭޕްވޯމް ބިސް އަޅާފައި

01 އެޕްރީލް 2019 - 07:27

1 comments

އިންޑިއާ ޒުވާނެއްގެ ސިކުނޑި ތެރޭގައި ފަންޏެއް ބިސް އަޅައި ހާލި ހެދުމުން އެ މީހާ މަރުވެއްޖެ އެވެ.

އުމުރުން 18 އަހަރުގެ ޒުވާނާ އެންމެ ފުރަތަމަ ޑޮކްޓަރަށް ދެއްކީ ހަފުތާއެއް ވަންދެން ދަށްބަނޑުގައި ވަރަށް ގަދަޔަށް ރިއްސައި ފިޓް ޖެހިގެންނެވެ. އޭރު އޭނާގެ ކަނާތްފަރާތު ލޯ ދުޅަވެފައިވާ ކަމަށް ޑޮކްޓަރުން ބުންޏެވެ. އަދި ޓެސްޓްތަކުން އެނގުނު ގޮތުގައި ލޮލާއި އުރަވަޅީގެ ތެރޭގައި ސިސްޓްތަކެއް ވެސް ހުއްޓެވެ.

އޭނާގެ އެމްއާރްއައި ސްކޭނެއް ހެދުމުން، ސިކުނޑީގައި ފާރު ހެދިފައި ހުރިކަން އެނގުނެވެ. އިތުރު ޓެސްޓްތައް ހެދުމުން، އެ ޒުވާނާ އަށް ޖެހިފައިވަނީ "ސިސްޓިސަކޯސިސް" ކަން އެނގުނެވެ. މިއީ ޓޭޕްވޯމްގެ "ޕެރަސައިޓިކް ލާވަލް ސިސްޓް" އިން ޖެހޭ އިންފެކްޝަނެކެވެ. މި ލާވާއިން ސިކުނޑި އާއި މަސްގަނޑާއި އެހެން ޓިޝޫތައް އިންފެކްޓްވެ އެވެ. އެއާ އެކު، ފިޓް ޖެހުން ފަދަ ކަންކަން ދިމާވެ އެވެ.

ޓޭޕްވޯމްގެ ބިސް އަނގައިން ހަށިގަނޑު ތެރެއަށް ގޮސްގެން ސިސްޓިސަކޯސިސް ޖެހިދާނެ އެވެ. ފުރަގަސްފަރާތުގައި ޓޭޕްވޯމް އަށަގަނެ ނަޖިހުގައި އެ ހުންނަ ހާލަތެއްގައި އެ ނަޖިހުގެ އަސަރު އަނގައިގެ ޒަރިއްޔާއިން ހަށިގަނޑަށް ވާސިލްވެއްޖެ ނަމަ މި ބަލި ޖެހިދާނެ އެވެ. މި ބަލި ޖެހޭ މީހުން އެންމެ ގިނައީ ލެޓިން އެމެރިކާ، އޭޝިއާ އަދި އެފްރިކާގެ ފަގީރު ހިސާބުތަކުގަ އެވެ. މިއީ ސާފުތާހިރުކަން ކުޑަ، ފެނާއި ނަރުދަމާގެ ހިދުމަތް ނުލިބޭ ހިސާބުތަކުގައި އާންމު ކަމެކެވެ.

އިންޑިއާގެ މި ޒުވާނާ އަށް ފަރުވާ ނުދެވި ގިނަ ދުވަސް ވުމުން ސިކުނޑި އަށް ޓޭޕްވޯމް ވާސިލްގެ ހަލާކުވީ އެވެ. އެކަމަކު ސިއްހީ ތަޖުރިބާކާރުން ބުނަނީ މި ޒުވާނާ އަށް އެންޓި-ޕެރަސައިޓިކް ބޭސް ދިން ނަމަ ރަނގަޅު ކުރެވޭނެ ކަމަށެވެ. އެކަމަކު މި ބޭސް ނުދިނީ ބަލި އިތުރަށް ގޯސްވެދާނެ ކަމަށް ބަލައިފަ އެވެ. ބަދަލުގައި ފަރުވާ ދިނީ، ފިޓް ޖެހޭތީ އެވެ.

1 ކޮމެންޓް, 25 ރިއެކްޝަންސް

icon happy icon happy 8%
icon sad icon sad 88%
icon angry icon angry 4%
icon wow icon wow 0%
icon inlove icon inlove 0%
The name is already taken The name is available. Register?

ކޮމެންޓްތައް

އެންމެ ފަސް މަގުބޫލް

ޖަމްބޭ

01 April 2019

ޓެސްޓުތަކެއް ހަދަން އެފަކީރު މަރާލީ

The name is already taken The name is available. Register?

އިތުރު ލިޔުންތައް

މަގްބޫލް ލިޔުންތައް

Daily News Digest

Deliver popular news headlines to your inbox!

Subscribe

Download Mihaaru News App

Offline Alerts

SMS 'sub mihaaru' to 5454